Contact us for your emergency dental care such as pain, broken tooth or filling, swelling, severe toothache or trauma / accident
 1/48 Mary St, Noosaville QLD 4566
1/48 Mary St, Noosaville QLD 4566

Emergency Dentistry: From Sudden Pain to Swift Relief

Lightsview Dentist
Trusted for Over 20 Years: Your Expert Solution in Emergency Dental Care
CUSTOM JAVASCRIPT / HTML
CUSTOM JAVASCRIPT / HTML

We Have Emergency Dentist Appointments Available

CUSTOM JAVASCRIPT / HTML
We are an established practice offering quality dentistry for 20+ years. 
CUSTOM JAVASCRIPT / HTML
Welcome to
The Smile Workx
Serving Noosa patients since 2002 
Preferred Providers of Bupa, HCF, NIB, and Westfund
Member of Australian Dental Association 
IV sedation available for anxious patients!
Emergency Dentist Noosaville
Are you currently experiencing any of these challenges?
Our extended emergency hours makes us accessible when you need us most.
Bleeding 
Gums, lips or mouth 
Aching 
Aching gum, teeth, tooth 
and/or mouth
Cracked 
Veneers, fixtures, tooth or teeth
Stuck 
Sharp object stuck in gums or teeth
Dislodged 
Tooth or teeth has been 
knocked out 
Severed
Gums, lips or mouth 
If you have decided to go through the hassle of looking for an emergency dentist or after hour support, you are likely in a lot of pain. If this is the case, we suggest you call now and address your concern. If the pain you are experiencing has come on all of a sudden and is not subsiding, this is a sign that you may require emergency dental treatment.

Alternatively you may have broken a tooth or fixture due to an accident or injury and may require emergency support. If so, call now to consult with us over the phone.

Ignoring dental pain can cause serious long term damage. Whatever the reason for your dental emergency, we are available to support you until 8pm from Monday to Friday. Get rid of your pain today!

Same-Day Emergency Dental Care
How can we help you?
Consultation Emergency Dentist
Consultation
When you contact us, our emergency dentist or our standby staff will answer your call. If your call can not be attended immediately, we will definitely call you back shortly. Once we speak with you about your current situation, we will discuss treatment options and schedule the earliest slot to see you. Some cases may require immediate treatment, others may not.
Treatment Emergency Dentist
Treatment
The treatment options available for dental pain are typically:

◉ Tooth fillings
◉ Removal of the tooth
◉ Gum Treatment or Periodontal Treatment
◉ Root Canal Treatment

We will proceed with a consultation and understand your dental history before we examine and determine the most suitable treatment for you.

This may involve x-rays and other tests on your mouth, gums, jaw, throat or sinuses. Before performing treatment, we will present the various flexible payment options.

Emergency Tips
We are available to help you with your urgent dental needs.

TOOTH PAIN RELIEF

Aching gum, teeth, tooth and/or mouth 
To cleanse your mouth, rinse with warm water. To relieve some of the pain, take an anti-inflammatory tablet such as Nurofen.

STUCK OBJECTS

Aching gum, teeth, tooth and/or mouth 
Try to gently remove the object (if it is not very painful), then apply pressure with a soft cloth once the object is removed.

EXTENDED BLEEDING

Gums, Lips, Mouth

To minimise the bleeding, clean the area with warm water and then apply a cold pack or other cold compress.

SEVERED MOUTH 

Gums, Lips, Mouth

To minimise the bleeding, clean the area with warm water and then apply pressure with a soft cloth to the area.

What we treat
Our dental services in Noosaville
General Dentist Noosaville
General Dentistry
Our skilled and experienced dentists provide reliable general dentistry services to keep your teeth and gums healthy. By visiting our clinic regularly, you can avoid common dental problems like cavities and gum disease.
Restorative Dentistry Noosaville
Restorative Dentistry
We offer various treatments, including dental implants, to help you achieve a healthy and beautiful smile. Using advanced technology, we offer comfortable, long-lasting treatments that restore your confidence and oral function.
Cosmetic Dentist Noosaville
Cosmetic Dentistry
Our qualified dentists create customised solutions to treat imperfections. Whether you seek teeth whitening, veneers, or orthodontics, we can help you achieve a flawless smile.
Orthodontics Dentist Noosaville
Orthodontics
Our dental clinic provides effective orthodontic services to correct adult and children’s smiles, including invisible braces. Our trained professionals can straighten your teeth discreetly, so you have a balanced bite and the beautiful, straight smile you deserve.
Secure Your Smile Today with Our Expert Emergency Care
◉ Rapid Response to Address Immediate Concerns
◉ Leveraging 20+ Years of Dental Expertise
◉ Flexible Payment Plans available
Happy Patient Dentist Noosaville

Meet Your Emergency Dentists at The Smile Workx

Dr Chintan Soni Dentist Noosaville
Dr Chintan Soni
Chintan has been practising dentistry for more than a decade now. Chintan graduated from dental school in India in 2006. During his studies, he developed a deep interest in cosmetic and implant dentistry. After practising dentistry for three years in India, he moved to Australia and served as a senior dental officer in Goondiwindi for Queensland Health until 2012. He then joined Optima Dental Care as a senior associate dentist in Gladstone, where he earned the title of “Gentle Dentist” in the local community.

Chintan joined The Smile Workx team as a principal dentist and Owner in 2018. Apart from general dentistry, he has undertaken extensive training in implants, invisible orthodontics (clear braces), anti-wrinkle injections, dermal fillers, and cosmetic smile makeovers. In his spare time, Chintan enjoys exercise, walks to watch the sunrise with his family, and learns new technology in dentistry.
CUSTOM JAVASCRIPT / HTML
Dr Brielle
Dr Brielle
Dr Brielle graduated from James Cook University, Cairns in 2021, obtaining her Bachelor of Dental Surgery. Dr Brielle has been working on the Sunshine Coast since graduating and joined The Smile Workx Team in November 2023.

Dr Brielle always knew she wanted to be a dentist from a young age. She grew up in the regional Town of Tannum Sands and completed her dental assistant training which sparked her passion to pursue dentistry further.

Dr Brielle is a kind and caring dentist who enjoys all aspects of General Dentistry, with a
particular interest in “prevention as the best medicine”. With her empathetic nature, she understands the barriers that many people face when attending the Dentist.
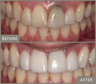
A few of Our Smile Outcomes

Welcome to The Smile Workx

At The Smile Workx, we take pride in being the go-to dentist in Noosaville for general dentistry since 2002.
Whether you need a routine dental cleaning, a filling or extraction, an implant, veneers or even urgent treatment for a dental emergency, we have you covered. We even offer happy gas to calm the more anxious patients so they are comfortable.
Our state-of-the-art practice has a welcoming, friendly vibe and is conveniently located with ample parking, making your dental visit with us hassle-free.

We strive to provide high standards of dental treatments and care to our clients and take the time to listen to your oral health concerns and tailor our approach to suit your needs.

The Smile Workx dental team believes everyone deserves optimal dental care at affordable rates and is happy to accept various health funds and payment plans so you and your family can get beautiful, healthy smiles.

If you want reliable dental care for yourself and your family, contact us now!
We Love and Accept All Major Health Funds
Preferred provider
Smile Now, Pay Later
Find us at Noosaville
1/48 Mary St, Noosaville QLD 4566
Off-street parking & wheelchair-accessible
Clinic Hours
CUSTOM JAVASCRIPT / HTML
CUSTOM JAVASCRIPT / HTML
Don't delay your tooth ache further! 
◉ Hygiene maintenance kit giveaway
◉ Flexible Payment Plans 
◉ Quick pain relief options available 
Happy Patient Dentist Noosaville
Terms and Conditions
There's no pressure, and no obligation to go ahead with treatment.
If you need to cancel your appointment for any reason, please call our office ahead of time, so we can treat other people during your scheduled time.

Prices do vary depending on the complexity of your case.
We'll share a specific quote and various payment options with you at your consultation.
Payment Plan Offer
Any payment plan offers are subject to approval by the registered payment plan provider.
Dentist Registration Details
Dr Chintankumar Jay Prakash Soni AHPRA Registration No DEN0001634495, type: General
Note: Any surgical or invasive procedure carries risks. Before proceeding, you should seek a second opinion from an appropriately qualified health practitioner.
Patient Images are published with consent and are intended for educational purposes only. Results vary between individuals, and all dental procedures carry risks. Please seek professional advice from your dentist to determine whether a treatment is appropriate for your circumstances.
Contact us for your emergency dental care such as pain, broken tooth or filling, swelling, severe toothache or trauma / accident
CUSTOM JAVASCRIPT / HTML